Endodontie in der Praxisklinik
RosenQuartier im Zentrum von Hannover
Ursachen und Symptome einer Zahnwurzelentzündung
Die Endodontie ist der Bereich der Zahnmedizin, der sich mit den inneren Strukturen des Zahnes befasst.
Ein Zahn besteht aus einer Zahnkrone und einer oder mehrerer Zahnwurzeln, die den Zahn fest im Kieferknochen verankern. Im Inneren der Zahnkrone und der Zahnwurzeln befindet sich ein Hohlraumsystem, die Zahnpulpa (im Volksmund auch „Zahnnerv“ genannt), die aus Blutgefäßen, Nervenfasern und Lymphgefäßen besteht.
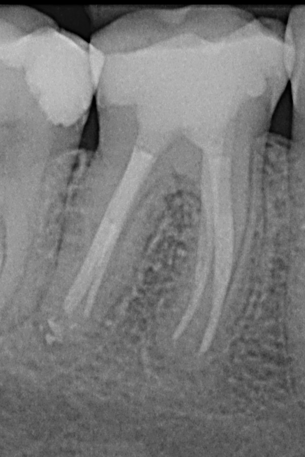
Mikroskopische Wurzelkanalbehandlung
Bei einer Wurzelkanalbehandlung werden die stark entzündete oder bereits abgestorbene Zahnpulpa, eingedrungene Bakterien und Biofilme aus dem Zahninneren entfernt. Um eine möglichst keimfreie Behandlung zu gewährleisten, wird der Zahn zunächst mit einer Schutzfolie (Kofferdam) isoliert. Nachdem mittels einer kleinen Bohrung durch die Zahnkrone ein Zugang zum Wurzelkanalsystem geschaffen wurde, werden mit Hilfe moderner, besonders flexibler Nickel-Titan-Feilen und desinfizierender, schallaktivierter Spülungen die Wurzelkanäle gereinigt. Oftmals wird die vollständige Reinigung aller infizierten Kanäle durch starke Verzweigungen, Krümmungen und Verkalkungen erschwert. Nur durch den Einsatz des Operationsmikroskops lassen sich auch kleinste Kanalstrukturen unter starker Vergrößerung darstellen und behandeln. Dies verbessert die Prognose der Behandlung erheblich. In einem Folgetermin wird der Zahn mit einer Wurzelkanalfüllung aus Guttapercha und einer Kompositfüllung bakteriendicht verschlossen. Damit ist die endodontische Behandlung in der Praxisklinik RosenQuartier beendet und Sie werden zur weiterführenden Behandlung zurück an Ihren Hauszahnarzt / Hauszahnärztin überwiesen.
Wurzelkanalanatomie eines
zweiten Unterkiefermolaren
Bildquelle: Dr. Marco Versiani - www.rootcanalanatomy.com
Wurzelkanalanatomie eines
zweiten Unterkiefermolaren
Bildquelle: Dr. Marco Versiani - www.rootcanalanatomy.com
Revisionsbehandlung
Manchmal bleiben bei wurzelbehandelten Zähnen Bakterien im Wurzelkanalsystem zurück, sodass an den Wurzelspitzen des betroffenen Zahnes erneut Entzündungen entstehen oder gar nicht erst ausheilen. In diesen Fällen sind eine Entfernung des alten Wurzelfüllmaterials und eine erneute Reinigung aller Kanalstrukturen notwendig. Diese Wiederholung der Wurzelkanalbehandlung (Revisionsbehandlung) ist in der Regel komplizierter und zeitaufwendiger als eine Erstbehandlung, bietet in vielen Fällen aber eine gute Möglichkeit, den Zahn langfristig zu erhalten.
Unvollständige Wurzelfüllungen in zwei Unterkiefer-Prämolaren
Nach Revisionsbehandlung der stark verzweigten Wurzelkanäle
Unterkiefer-Molar mit unvollständiger Wurzelfüllung und Zahnwurzelentzündung
Ausgeheilte Entzündung 1 Jahr später nach Revisionsbehandlung
Fragmententfernung
Um die Wurzelkanäle hinreichend zu reinigen, werden sehr feine und fragile Instrumente verwendet, die mitunter im Wurzelkanal frakturieren können. Diese verhindern in der Folge die weitere Reinigung des entsprechenden Kanalabschnitts und können die Erfolgsrate reduzieren. Es besteht jedoch die Möglichkeit der Entfernung abgebrochener Wurzelkanalinstrumente, damit der Zahn langfristig erhalten bleibt. In unserer Praxis wird die Fragmententfernung ausschließlich unter Einsatz des Operationsmikroskops mit Spezialinstrumentarium („Lasso-System“) und der dafür notwendigen Erfahrung unter maximal möglicher Schonung der Zahnsubstanz durchgeführt.
Frakturiertes Wurzelkanalinstrument
Nach Fragmententfernung und Wurzelfüllung
Ästhetische Aspekte
In einigen Fällen kommt es zu dunklen Verfärbungen toter Zähne. Ursächlich sind meist das Eindringen von Blutbestandteilen, Medikamenten oder Wurzelfüllmaterialien in die Zahnsubstanz. Diese Verfärbungen lassen sich unkompliziert durch internes Bleichen des betroffenen Zahns entfernen oder zumindest abmildern.
Beratung und Kosten
In einem ersten persönlichen Beratungsgespräch erhalten Sie von uns alle zur Behandlung erforderlichen Informationen und werden umfangreich untersucht und aufgeklärt. Dazu gehört zunächst eine klinische Untersuchung und in ausgewählten Fällen ein dreidimensionales Röntgenbild (DVT). Anhand der Befunde ermitteln wir die Behandlungsnotwendigkeit für den Zahn / die Zähne und erörtern gemeinsam die für Sie optimale Therapie und deren Alternativen.
Die endodontischen Leistungen werden ausschließlich privat nach der Gebührenordnung für Zahnärzte (GOZ) in Rechnung gestellt und nicht über die gesetzlichen Krankenkassen abgerechnet. Über die zu erwartenden Kosten werden Sie am Ende des Beratungsgesprächs aufgeklärt und erhalten eine detaillierte Kostenaufstellung für Ihren privaten Versicherungsträger oder Ihre Zusatzversicherung
